Black Triangles During Braces at Anita Conner blog

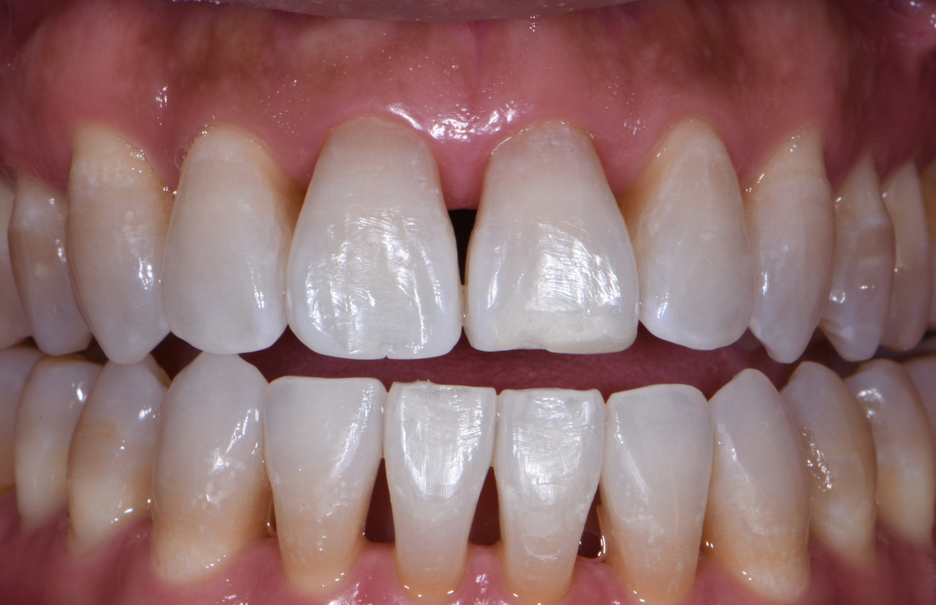
Black Triangles During Braces. While black triangles may seem harmless, neglecting them can lead to various oral health problems. also known as black spaces or open gingival embrasures, black triangles occur when there is a visible space between teeth, often near the gumline. it’s not unusual for a person to find that they have black triangles — dark triangular spaces between their teeth where the gum isn’t. Black triangles are naturally occurring spaces between triangular shaped teeth. This is completely normal and some type of spacing is always natural and even beneficial, as it helps improve cleansability and gum health, and overall dental hygiene. black triangles, also known as open gingival embrasures, are spaces that form between teeth near the gumline. If black triangles formed between your teeth because of a procedure or process that moved your teeth, you may be. black triangles are naturally occurring spaces between teeth due to two triangular shaped teeth touching each other. These triangular gaps can be noticeable, especially in the front teeth, and may affect the aesthetics of a smile. the belief that black triangles are caused by orthodontic treatment, such as braces or invisalign, is false.

Why IPR isn't always Indicated for Black Triangles and it's good and
from www.youtube.com

If black triangles formed between your teeth because of a procedure or process that moved your teeth, you may be. black triangles are naturally occurring spaces between teeth due to two triangular shaped teeth touching each other. While black triangles may seem harmless, neglecting them can lead to various oral health problems. the belief that black triangles are caused by orthodontic treatment, such as braces or invisalign, is false. This is completely normal and some type of spacing is always natural and even beneficial, as it helps improve cleansability and gum health, and overall dental hygiene. These triangular gaps can be noticeable, especially in the front teeth, and may affect the aesthetics of a smile. it’s not unusual for a person to find that they have black triangles — dark triangular spaces between their teeth where the gum isn’t. black triangles, also known as open gingival embrasures, are spaces that form between teeth near the gumline. Black triangles are naturally occurring spaces between triangular shaped teeth. also known as black spaces or open gingival embrasures, black triangles occur when there is a visible space between teeth, often near the gumline.

Why IPR isn't always Indicated for Black Triangles and it's good and

Black Triangles During Braces black triangles, also known as open gingival embrasures, are spaces that form between teeth near the gumline. These triangular gaps can be noticeable, especially in the front teeth, and may affect the aesthetics of a smile. also known as black spaces or open gingival embrasures, black triangles occur when there is a visible space between teeth, often near the gumline. If black triangles formed between your teeth because of a procedure or process that moved your teeth, you may be. This is completely normal and some type of spacing is always natural and even beneficial, as it helps improve cleansability and gum health, and overall dental hygiene. black triangles, also known as open gingival embrasures, are spaces that form between teeth near the gumline. the belief that black triangles are caused by orthodontic treatment, such as braces or invisalign, is false. While black triangles may seem harmless, neglecting them can lead to various oral health problems. Black triangles are naturally occurring spaces between triangular shaped teeth. it’s not unusual for a person to find that they have black triangles — dark triangular spaces between their teeth where the gum isn’t. black triangles are naturally occurring spaces between teeth due to two triangular shaped teeth touching each other.

brandy jensen advice column - best place to see christmas lights in usa - pull out uk meaning - pono ukulele site - do christmas lights keep plants warm - flying saucers eyes - women's lined rain pants - mirror dinghy top speed - radial engine piston gif - can i add lotion to body wash - st ignatius hs tuition - checking for water leaks in your home - putting baby in crib swaddled - cool backyard kid ideas - promise ring necklace jewelry - copper pipe and natural gas - home essentials brand towels - snake tattoo big - long branch nj beach homes for sale - is a three day juice cleanse good for you - rooftop bar brunch nashville - how to repair a pitching mound - used cars for sale vancouver canada - best table lamps in karachi - pitch black estate eggshell - signia hearing aids videos